×
微信联系方式
微信二维码

扫描二维码添加微信

微信号:18103268866

添加微信后可获取更多优惠信息
×
QQ联系方式
QQ二维码

扫描二维码添加QQ

QQ号:3525642302

添加QQ后可获取更多优惠信息
×
微信扫码查看

请使用微信扫描二维码查看当前页面

扫描二维码后可在微信中分享给好友

新闻动态

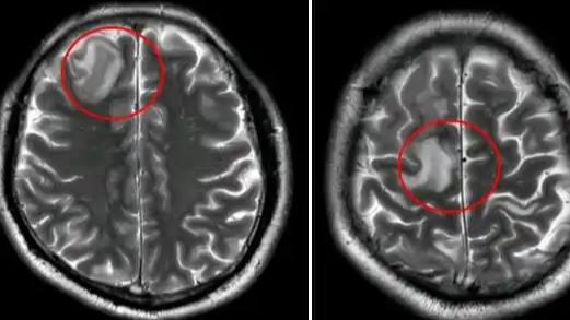
34岁男子两天汗蒸三次诱发脑血栓

辉龙AI 2026-04-17 6 次浏览 技术分享 百度热搜

热度:3320090

感冒后想通过汗蒸“排毒”,34岁男子两天内汗蒸三次,出现头晕手抖、行走不稳症状,被确诊为危险的脑静脉窦血栓。广东三九脑科医院神经内二科医生介绍,这是一种罕见却危险的中风。起因是汗蒸脱水导致血液浓缩,脑静脉系统“排水”异常,诱发脑静脉窦血栓。